# 치경부마모증 레진 가격 | 치아시림 | 치아패임
더위가 기승을 부리며 차가운 음료나 물을 더 찾게되는데요. 무심코 마신 음료에 갑자기 치아가 시린 느낌을 받고 인상을 찌푸린 경우가 있으신가요? 만약 시린느낌이 있는데 무시 한다면 갈수록 더 심해질수도 있으니 포스팅에 집중해 보세요. 오늘은 치경부마모증 증상 레진가격 치아시림 증상 등 알려드릴게요.
목차
치경부 마모증 이란?
먼저 잇몸 위로 노출된 치아에는 법랑질이라는 단단한 조직이 깜싸고 있는데요. 잇몸 아래쪽과 치아 내부는 상아질로 구성되어 있습니다. 내부는 상아세관 들의 집합체로 미세한 관은 액체로 차있으며 외부의 온도나 압력 등의 자극을 상아질 내부 세포로 빠르게 전달하게 됩니다.
따라서 상아질 부분이 노출이 되면 외부 자극에 예민해지고 다양한 통증을 유발하는데 이것을 '시리다'
라고 표현을 한다고 하죠.
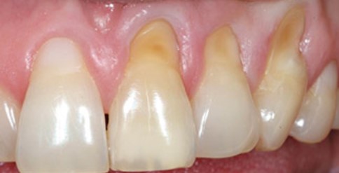
이런 치아가 일으키는 통증은 다양하겠지만 '치경부 마모증' 이 원인인 경우가 많습니다. 치경부 마모증은 치아 목 부분(치경부)에 해당하는 치아와 잇몸이 만나는 경계 부분에 V자 모양으로 홈이 생기는 증상을 말합니다.

치경부 마모증 레진 가격 | GI 가격
치경부마모증 치료비용은 어떤 재질을 쓰느냐에 따라 다른데요. 레진 그리고 GI 두가지 재료가 있습니다. GI는 건강보험 진료 적용이되고 , 레진 같은 경우에는 비급여 진료에요.
✅ 레진
레진의 특징은 마모저항성, 강도, 색상 등 대체적으로 우수한 재료로 꼽히는데 비급여 진료이기 때문에 GI 보다 가격이 비쌉니다. 레진치료는 치과마다 차이가 있는데 일반적으로 6~8 만원 사이입니다.
✅ GI
GI는 레진에 비해 마모저항성이 낮고 치아와 색에 차이가 좀 나는데요. 장점으로는 가격이 저렴하다는 점이죠. 한 치아당 1만원 이내의 본인부담금이 발생되구요. 비용이 부담 되신다면 잘보이는 앞니쪽은 레진, 잘안보이는 치아는 GI로 치료도 가능합니다.
치경부 마모증 생기는 이유?
치아와 잇몸 경계에 V자 홈이 생기는 이유는 치아에 과도한 힘을 가하는 습과, 치아가 산 과 자주 접촉하는 경우, 좌우로 강하게 움직이는 칫솔질 등이 이유가 됩니다. 치경부 마모증은 대체적으로 이물질 그리고 치아의 기계적 접촉에 의한 치아의 법랑질이 마모되면서 발생하게 됩니다.
1️⃣ 잘못된 칫솔질
가장 많은 경우가 이 칫솔질에 의하여 생기게 되는데요. 좌우로 강하게 행하는 칫솔질 + 뻣뻣한 칫솔모를 사용하게 되는 경우 발생하며 부드러운 칫솔모를 추천합니다.
2️⃣ 질긴 음식 , 이를 꽉 무는 습관 , 강합 교합력
치아에 강한 압력을 주는 습관은 치경부마모증 을 일으키는 주범으로 꼽힙니다. 강한 힘이 치아에 전달되면 치아가 부붅거으로 떨어져 손상되고, 마모가 진행되는 경우가 많습니다.
3️⃣ 치아 Acid 산성 물질에 의한 침식
여름철 과일쥬스나 탄산음료 등 산성을 띠는 음료를 자주 접하게 되죠. 산성을 띠는 음료를 마신 후 위장장애, 섭식장애, 잦은 구토 등으로 인하여 치아가 산 또는 위액과 자주 만나게 되면 치아의 단단한 조직이 닳게 되어 치경부 마모증이 발생할 수 있습니다.
댓글